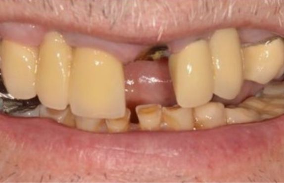
Before
After
Immediate loading carried out also.
Huge transformation in the patients ability to smile and chew food. Massive improvement in his overall confidence also.
Thanks to Dean and his team from @innovate_dental_laboratory for the labwork. Combination of @dentsplysirona Ankylos and @neodentuk GM Helix implants placed.
Would you like to achieve a similar result for your smile? Call us today at 01625 425 838
BOOK THIS TREATMENT Back TO TRANSFORMATIONSMudassar offers comprehensive services which include the provision of Dental Implants, Smile Design and Makeovers, Composite and Porcelain Veneers, Teeth Straightening, Teeth Whitening and Advanced Endodontics (Root canals).
View All My TreatmentsA passion for perfection. Delivering life-changing smiles and ensuring excellent dental health.
READ MOREThe perfect match! Dental implants and us – together we can recreate a naturally beautiful smile.
READ MOREPrecision, compassion, and cutting-edge care — redefining root canals with a skilled touch.
READ MOREA passion for perfection. Delivering life-changing smiles and ensuring excellent dental health.
READ MOREThe perfect match! Dental implants and us – together we can recreate a naturally beautiful smile.
READ MOREPrecision, compassion, and cutting-edge care — redefining root canals with a skilled touch.
READ MORE“Mudassar is a very reassuring dentist and makes even a tricky adult molar tooth extraction as pain-free as possible. He explains everything in advance and...”
READ MORE“Well, what can I say? Just WOW! I’ve never actually come across such an amazing dentist in my life. I’m an extremely nervous and anxious...”
READ MORE“Under the wonderful care of Dr Mudassar Akhtar, I recently had full dental implants in my lower jaw which has changed my life for the...”
READ MORE“I went into Mudassar's practice in Macclesfield for a teeth surgery extraction. The service was 10/10 he was so welcoming and told me step-by-step what...”
READ MORE“I was unsure about having an implant when I had to have a molar removed which cracked. Mudassar put me at ease from my initial...”
READ MORE“When I was first informed that I needed an implant I was extremely apprehensive about having it fitted. The reality was it was a simple...”
READ MORE“Excellent, skilled and a true perfectionist! I've been through a full 12-month transformation with results far better than I expected. Super professional and understanding with...”
READ MORE“Dr Akhtar was amazing throughout the whole implant process. He was clear and explained each step of the process. He said to me right at...”
READ MORE“I've had 12 months' worth of treatment by Mudassar (including two implants and some difficult extractions), but it was worth it. He's a man of...”
READ MORE“Highly recommend!! Everything was thoroughly explained regarding my implant and other dental treatment and I instantly felt at ease! I am extremely happy with the...”
READ MORE“I was initially referred to Dr Mudassar due to my back tooth breaking upon having the primary extraction, unfortunately the original dentist was unable to...”
READ MORE“While at the practice I have been seeing Dr Mudassar Akhtar who was able to carry out a very difficult root canal as there was...”
READ MORE“Mudassar is a very reassuring dentist and makes even a tricky adult molar tooth extraction as pain-free as possible. He explains everything in advance and...”
READ MORE“Well, what can I say? Just WOW! I’ve never actually come across such an amazing dentist in my life. I’m an extremely nervous and anxious...”
READ MORE“Under the wonderful care of Dr Mudassar Akhtar, I recently had full dental implants in my lower jaw which has changed my life for the...”
READ MORE“I went into Mudassar's practice in Macclesfield for a teeth surgery extraction. The service was 10/10 he was so welcoming and told me step-by-step what...”
READ MORE“I was unsure about having an implant when I had to have a molar removed which cracked. Mudassar put me at ease from my initial...”
READ MORE“When I was first informed that I needed an implant I was extremely apprehensive about having it fitted. The reality was it was a simple...”
READ MORE