MENU

FOllow me on

instagram instagram
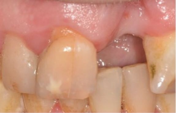
Case 11 Before Before
Case 11 After After

This patient came to see me after losing his front tooth.

There was extensive soft tissue loss – height and width with concurrent vertical & horizontal bone loss also. A really tough starting point.

Firstly, he was sent to the hygienist to stabilise his gums. Hard and soft tissue surgery was carried out over the upcoming months and a single implant was placed UL1 site which we restored as well as placing 2 matching porcelain veneers on his teeth on either side. The final photo was at the fit appointment, gums will look even better in time.

There is a lot of thought and effort which goes into getting results like these. It’s not just about placing an implant and accepting fake gums (pink porcelain), misaligned gum lines (zeniths) or excessively long crowns/teeth. In the right hands/right team – we aim for perfection and if we don’t attain that, we still get a very good result.

Ideally would have loved to place veneers on his front 6/8/10 teeth to give an even better aesthetic result but his budget didn’t extend that far.

Would you like to achieve a similar result for your smile? Call us today at 01625 425 838

BOOK THIS TREATMENT Back TO TRANSFORMATIONS

Treatments

Mudassar offers comprehensive services which include the provision of Dental Implants, Smile Design and Makeovers, Composite and Porcelain Veneers, Teeth Straightening, Teeth Whitening and Advanced Endodontics (Root canals).

View All My Treatments

Cosmetic Dentistry

A passion for perfection. Delivering life-changing smiles and ensuring excellent dental health.

READ MORE

Dental Implants

The perfect match! Dental implants and us – together we can recreate a naturally beautiful smile.

READ MORE

Endodontics

Precision, compassion, and cutting-edge care — redefining root canals with a skilled touch.

READ MORE

Oral Surgery

Reinvent your smile, mouth and jaws with oral surgery.

READ MORE

Cosmetic Dentistry

A passion for perfection. Delivering life-changing smiles and ensuring excellent dental health.

READ MORE

Dental Implants

The perfect match! Dental implants and us – together we can recreate a naturally beautiful smile.

READ MORE

Endodontics

Precision, compassion, and cutting-edge care — redefining root canals with a skilled touch.

READ MORE

Oral Surgery

Reinvent your smile, mouth and jaws with oral surgery.

READ MORE
google thumb

Alistair S

“Mudassar is a very reassuring dentist and makes even a tricky adult molar tooth extraction as pain-free as possible. He explains everything in advance and...”

READ MORE
google thumb

Simon T

“Well, what can I say? Just WOW! I’ve never actually come across such an amazing dentist in my life. I’m an extremely nervous and anxious...”

READ MORE
google thumb

Helen M

“Under the wonderful care of Dr Mudassar Akhtar, I recently had full dental implants in my lower jaw which has changed my life for the...”

READ MORE
google thumb

Taslima S

“I went into Mudassar's practice in Macclesfield for a teeth surgery extraction. The service was 10/10 he was so welcoming and told me step-by-step what...”

READ MORE
google thumb

Lesley R

“I was unsure about having an implant when I had to have a molar removed which cracked. Mudassar put me at ease from my initial...”

READ MORE
google thumb

David R

“When I was first informed that I needed an implant I was extremely apprehensive about having it fitted. The reality was it was a simple...”

READ MORE
google thumb

Martin B

“Excellent, skilled and a true perfectionist! I've been through a full 12-month transformation with results far better than I expected. Super professional and understanding with...”

READ MORE
google thumb

Tom K

“Dr Akhtar was amazing throughout the whole implant process. He was clear and explained each step of the process. He said to me right at...”

READ MORE
google thumb

Ann C

“I've had 12 months' worth of treatment by Mudassar (including two implants and some difficult extractions), but it was worth it. He's a man of...”

READ MORE
google thumb

Amanda K

“Highly recommend!! Everything was thoroughly explained regarding my implant and other dental treatment and I instantly felt at ease! I am extremely happy with the...”

READ MORE
google thumb

Dawn P

“I was initially referred to Dr Mudassar due to my back tooth breaking upon having the primary extraction, unfortunately the original dentist was unable to...”

READ MORE
google thumb

Atif G

“While at the practice I have been seeing Dr Mudassar Akhtar who was able to carry out a very difficult root canal as there was...”

READ MORE
google thumb

Alistair S

“Mudassar is a very reassuring dentist and makes even a tricky adult molar tooth extraction as pain-free as possible. He explains everything in advance and...”

READ MORE
google thumb

Simon T

“Well, what can I say? Just WOW! I’ve never actually come across such an amazing dentist in my life. I’m an extremely nervous and anxious...”

READ MORE
google thumb

Helen M

“Under the wonderful care of Dr Mudassar Akhtar, I recently had full dental implants in my lower jaw which has changed my life for the...”

READ MORE
google thumb

Taslima S

“I went into Mudassar's practice in Macclesfield for a teeth surgery extraction. The service was 10/10 he was so welcoming and told me step-by-step what...”

READ MORE
google thumb

Lesley R

“I was unsure about having an implant when I had to have a molar removed which cracked. Mudassar put me at ease from my initial...”

READ MORE
google thumb

David R

“When I was first informed that I needed an implant I was extremely apprehensive about having it fitted. The reality was it was a simple...”

READ MORE

Contact Dr Mohammed Mudassar Akhtar

Invisalign is only available at Heathcote Dental & Implant Clinic

5.0
Google-review